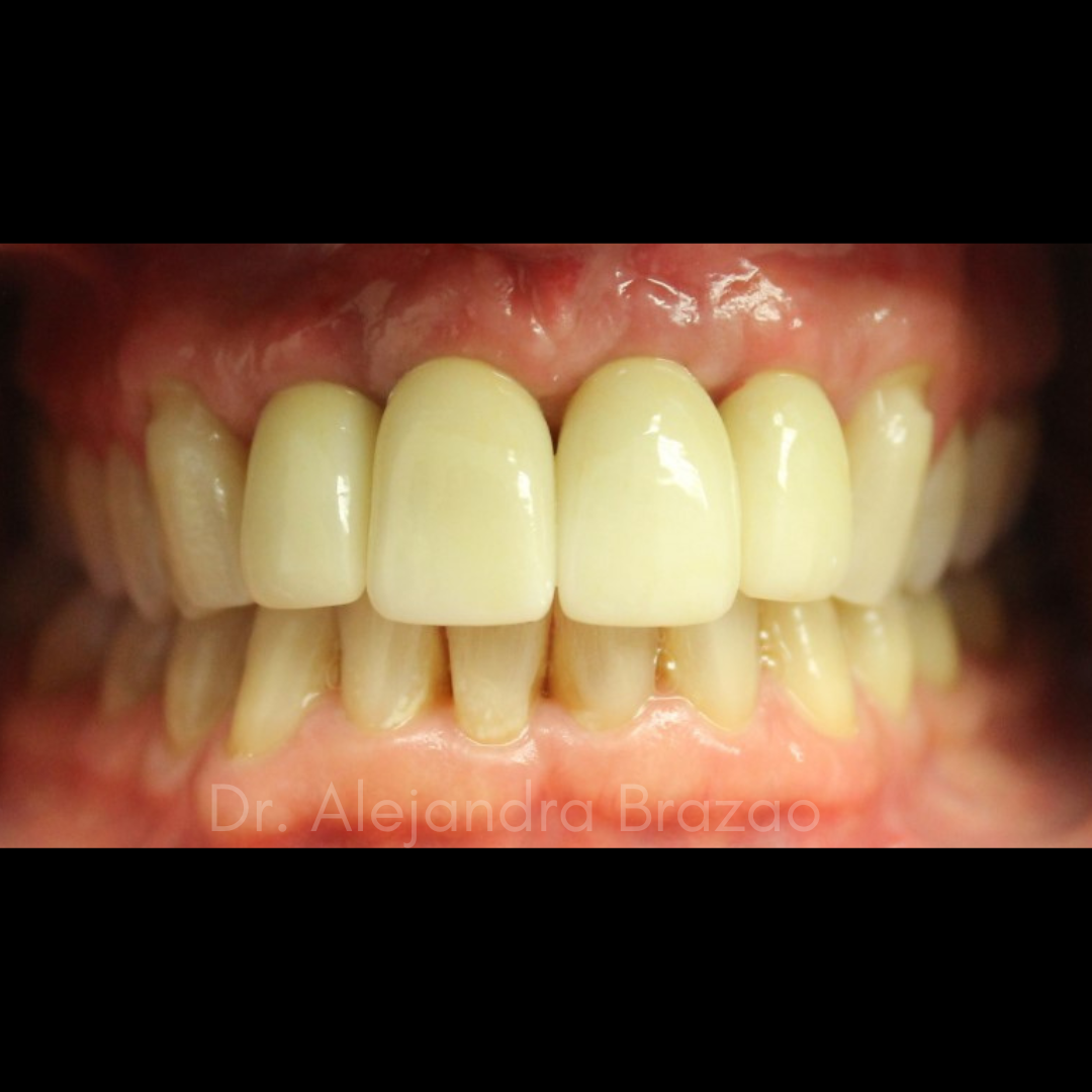
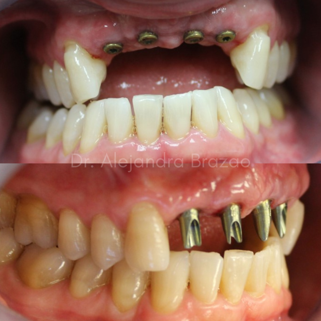
Crown over implants Case Study

Return to Patient Gallery